These are the consequences of sleeping with your c… See more

These are the consequences of sleeping with your c… See more

A 65-year-old woman came to the clinic after experiencing months of chronic knee pain

When a 65-year-old woman in South Korea went to the doctor because of worsening knee pain, no one expected the scans to reveal anything unusual. The visit was supposed to be routine — another step in managing the osteoarthritis that had slowly been reshaping her daily life.

Instead, doctors found something that stopped them cold.

For years, she had lived with osteoarthritis, a condition that quietly erodes the cartilage meant to cushion the joints. At first, it was stiffness in the morning. Then swelling. Then pain that lingered long after she sat down to rest. Simple things — climbing stairs, standing up from a chair, walking more than a few minutes — became exhausting calculations of how much discomfort she could tolerate.

She tried the standard treatments. Pain relievers. Anti-inflammatory drugs. They dulled the ache slightly but left her with stomach problems that felt almost as disruptive as the joint pain itself. According to her account, the side effects became too much.

Looking for relief, she turned to acupuncture.

The practice, rooted in centuries of tradition, involves inserting thin needles at specific points in the body to ease pain or treat illness. In some forms used for arthritis in parts of Asia, tiny pieces of sterile gold are implanted near affected joints, where they’re meant to provide long-term stimulation.

In her case, the needles — believed to be made of gold — were intentionally left inside her knees.

At the time, it seemed harmless. The pain felt manageable, and life went on.

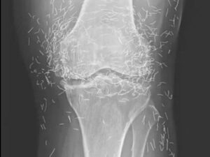
Years later, when doctors took X-rays to evaluate her knee condition, they weren’t prepared for what appeared on the images. Her knees were filled with dozens of bright, metallic flecks — tiny needles embedded deep within the joint area.

The findings were later documented in a case published by the New England Journal of Medicine.

While striking, the discovery raised immediate concerns.

Medical experts caution that leaving foreign objects inside the body is never without risk. Dr. Ali Guermazi, a professor of radiology at Boston University who was not involved in the case, explained that objects like embedded needles can trigger inflammation, infections, or abscesses. Over time, the body may mount a chronic inflammatory response, essentially treating the material as an intruder.

“The human body wants to get rid of the foreign object,” Guermazi explained. “It starts with defense mechanisms, such as inflammation and forming fibrous tissue around the object.”

Beyond inflammation, the needles created another problem: imaging complications. Metal objects can obscure parts of the anatomy on X-rays, making it harder for doctors to clearly assess joint damage or disease progression.

Even more concerning, the presence of metal inside the body can make certain scans dangerous. MRI machines rely on powerful magnetic fields, and embedded needles may shift during scanning, potentially damaging blood vessels or surrounding tissue. In short, future diagnostic options for this patient became limited.

Despite its long history, scientific evidence supporting acupuncture as a treatment for medical conditions remains mixed. Still, it remains popular, particularly for joint pain. In the United States alone, an estimated 3.1 million adults and 150,000 children received acupuncture in a single year, according to data from the National Center for Complementary and Alternative Medicine.

For this woman, the discovery inside her knees was both startling and symbolic — a reminder that alternative treatments can sometimes leave behind more than expected.

In her case, they left a literal collection of buried gold, permanently etched into her medical history.