

When a 65-year-old woman from South Korea sought treatment for knee pain, the doctors did not expect to find something extraordinary. However, that is exactly what they discovered.
Managing osteoarthritis can be exceedingly challenging. This condition gradually wears away the cartilage in your joints, leading to stiffness, swelling, and chronic pain that can make even the most basic daily tasks feel exhausting.
Activities that were once simple — such as climbing stairs, bending down to tie your shoes, or even walking short distances — can become painful and sluggish.
The woman in this story had been struggling with osteoarthritis, and she indicated that pain relievers and anti-inflammatory medications offered little relief while causing unwanted stomach problems.

Consequently, she sought acupuncture, as reported in a case published in the New England Journal of Medicine.
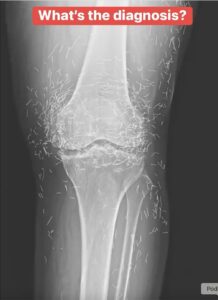
Acupuncture, an alternative treatment with a history spanning centuries, entails the insertion of needles into specific points on the body to alleviate pain or address various health issues. In this particular instance, the needles—likely crafted from gold—were deliberately left in her knees to provide ongoing stimulation.
However, the practice of leaving needles within the body carries inherent risks.
“The presence of foreign objects within the body can result in inflammation, abscesses, and infections,” stated Dr. Ali Guermazi, a radiology professor at Boston University who was not associated with the case.
Foreign invaders
He further cautioned that needles left embedded can interfere with X-ray interpretations. “The needles may obscure certain anatomical structures,” Guermazi remarked in 2013.
Moreover, the human body does not always respond favorably to foreign entities, and such reactions may be classified as foreign body reactions or chronic inflammatory responses.
“The human body instinctively attempts to expel the foreign object,” Guermazi elaborated. “This process begins with a defensive mechanism, such as inflammation and the formation of fibrous tissue around the object.”

Even more troubling, needles that remain in the body can pose risks for future medical imaging. “The patient cannot undergo an MRI because needles left in the body might shift and injure an artery,” Guermazi noted.
The evidence supporting the efficacy of acupuncture in treating medical conditions is scarce. Nevertheless, it continues to be a favored choice for alleviating joint pain, particularly in certain Asian nations where the practice of inserting small pieces of sterile gold thread around a joint is a prevalent treatment for arthritis.
In the United States, acupuncture is also extensively practiced — approximately 3.1 million adults and 150,000 children received this treatment in 2007, as reported by the U.S. National Institutes of Health’s National Center for Complementary and Alternative Medicine.
For this woman, her knees adorned with gold serve as a poignant reminder that at times, alternative medicine can leave more than just a mark — it can result in a literal treasure trove.
